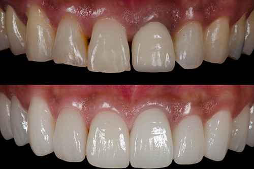
SMILE DESIGN
Treatment Duration: 3-7 Days
The term smile design refers to a broad meaning as it covers not only the teeth but also the lips, gums, and any facial structure that affects the smile of an individual.
Smile design is unique for every person and should be designed precisely by a skilled and experienced dentist.
Research has shown that making improvements to the smile of people increases self-confidence.
People who are confident in their smiles are shown to be more successful in their social and business life. All these factors contribute to a positive mood and therefore the quality of life of a person increases.
Moreover, while making a smile design all dental problems are considered and solved thus it contributes to the improvement of oral hygiene as well.
Smile design includes;
- Whitening of teeth
- Laminate veneers
- Dental crowns
- Aesthetic dental fillings
- Dental implants
- Botulinum toxin injection
- Gingivoplasty and any other gum treatments


Am I Eligible For Smile Design?
If you suffer from;- Old fillings that need to be restored
- Discoloration of your teeth
- Gaps between your teeth
- Broken, crooked, or cracked teeth
- Gummy smile
- Tooth deficiencies
- Old and dull restorations that look unaesthetic
For the best results, our skilled dental team will take your photographs, discuss all the details with you considering your age, expectations, general health state, lips, facial structure, face line, gumline, gender, the width of the smile, horizontal and vertical symmetry. After assessing all these your unique smile design will be determined.
